換牙期的注意事項:兩重點及五大疑問
2018 Aug 09 換牙長牙
作者:沈明萱醫師 ( Ming-Hsuan Sheen, DDS )
進入12月份,高雄的冬天終於到了。
一大早,冷冷的天氣,診間也空蕩蕩的。
一位阿嬤拉著穿國小制服的小女生,推開門走進來。
「醫師,昨天才注意到她的新牙齒長歪了,今天趕快請假帶她來拔牙。」
「我-不-要-拔-牙。」女孩咬著下嘴唇,清楚表明她的立場。
我一檢查,下排門牙的內側面有兩顆新牙齒冒出頭。
「阿嬤,這個不用拔牙。」
「醫生,歪成這樣要趕快拔掉啦。」阿嬤手指著女孩的門牙,瞪大雙眼看著我。
「要換牙了,乳牙在搖,要不要拔掉?」這是換牙期,6-13歲期間,家長最常問的問題。
「不拔,新牙齒會長歪。」是多數人的想法,也是美麗的誤會。
大部分的情況,是不需要醫師介入拔除乳牙的!
換牙的階段從6歲持續到13歲。開始換牙後,家長會比乳牙更重視,新牙齒一有不對勁,會擔心而來求診。
每個人換牙的情況不同。有些孩子換牙順利,不會疼痛也不影響進食。有些人一顆牙齒從開始搖晃到脫落,需要較長的時間,甚至會喊牙齒痛。不管是哪一種,通常時間久了,牙齒就會自行脫落了。
家長最擔心的,是「雙排牙」。亦即新牙齒冒出來且「長歪」了,但是舊牙齒還沒掉。大部分這樣的情形,長歪的牙齒會在乳牙脫落後,回到正確的位置。有些孩子換完牙後,排列不整齊,主要的原因是牙弓空間不足,和有沒有拔除乳牙,不一定相關。
換牙兩大注意重點:順序、對稱
一、順序:由前往後,第一大臼齒例外。
要提醒家長的是,最後面的第一大臼齒(紅色)跟門牙會在同一時間開始長牙。第一大臼齒長牙時,不會先掉乳牙,常常被忽略,因而疏於清潔而導致蛀牙。
二、對稱:左右對稱
跟人體多數的構造一樣,牙齒的數目、換牙狀況也是左右對稱。如果兩側的同部位牙齒換牙時間差異過大(例如:一側已經換牙,另外一側的乳牙仍然不動如山),就要找牙醫師檢查。
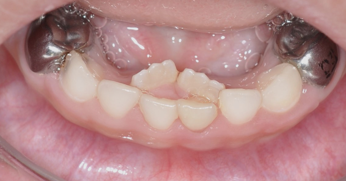
「阿嬤,你看這個照片,這個小朋友牙齒長歪,沒有拔牙就慢慢長好了。」
「這樣喔…。」阿嬤看著照片,聽得出來還是有點懷疑。
「阿嬤,擔心的話,還是可以帶她來拔牙。記得先跟小朋友講,讓她有心理準備。」
「下次來,如果牙齒還沒長好,要拔掉舊牙齒,好嗎?」
小女生點點頭,跟我打勾勾作約定。
除了注意順序和對稱,以下整理換牙5大疑問:
1.牙齒動搖不舒服,需要拔牙嗎?
如果動搖的乳牙影響進食或清潔,才會建議拔掉。
2.新牙冒出來舊牙還沒掉,趕快拔掉才不會長歪?
不一定需要拔牙,一般會先追蹤。牙齒是否會長歪要視整體空間。
3.門牙有縫,要趕快矯正嗎?
換牙期間,門牙有縫多屬正常現象,少數是因為有多生牙、齒瘤等而導致。建議由醫師評估追蹤。一般牙縫會隨著牙齒越長愈多顆,互相推擠而縮小。
換牙5大疑問
1.牙齒動搖不舒服,需要拔牙嗎?
如果動搖的乳牙影響進食或清潔,才會建議拔掉。
2.新牙冒出來舊牙還沒掉,趕快拔掉才不會長歪?
不一定需要拔牙,一般會先追蹤。牙齒是否會長歪要視整體空間。
3.門牙有縫,要趕快矯正嗎?
換牙期間,門牙有縫多屬正常現象,少數是因為有多生牙、齒瘤等而導致。建議由醫師評估追蹤。一般牙縫會隨著牙齒越長愈多顆,互相推擠而縮小。
4.新牙齒排列不整齊,怎麼辦?
找醫師評估,有些問題需要早期介入。全口固定式矯正器,一般換完全部牙齒(約13歲)後開始做。
5.太早(晚)換牙,是不是營養過盛(不足)?
早或晚開始換牙,沒有特別的優缺點,也和營養狀況沒有關連。有些小朋友中班開始換牙,有些人可能到三年級才開始。若很早就長新牙齒,家長一定要協助清潔,避免要用一輩子的新牙齒蛀牙。
總結
換牙階段除了要注意長牙順序和左右對稱,新長的牙齒因為要用一輩子,爸媽要協助孩子清潔並每半年檢查一次。
本文更新於2020.12.10
本文更新於2020.12.10
0則留言


